Welcome to our Dental Smile Photo Gallery. Please enjoy some of our amazing dental smile transformations.
Cosmetic Dentristry
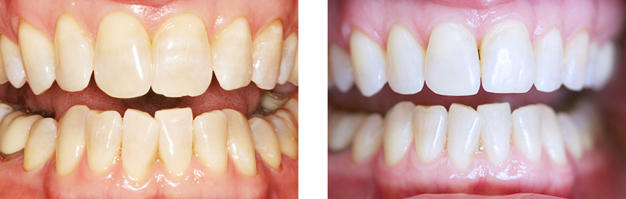
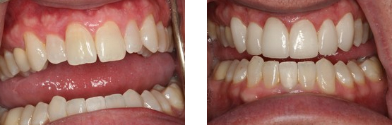
Bleaching

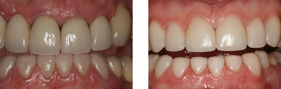
One sessions of bleaching, after a year in ortho, teeth lightened up multiple shades. The patient was thrilled with bleaching!
View Case Details
View Case Details
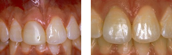
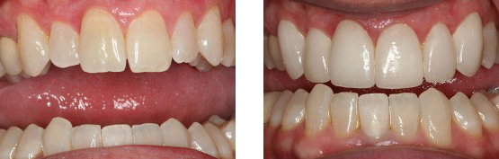
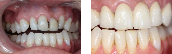
Porcelain Veneers & Crowns
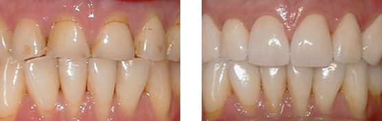
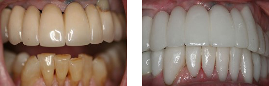
Restorations
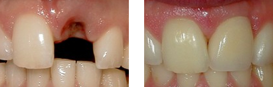
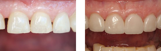
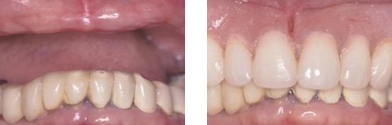
Dental Implants
















