Porcelain Veneers & Crowns
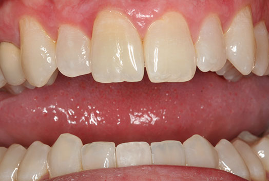
Before: Patient had very small laterals and prominent centrals and wanted the teeth to be more even in size and look more masculine. Teeth were irregularly shaped and there was a size discrepancy.
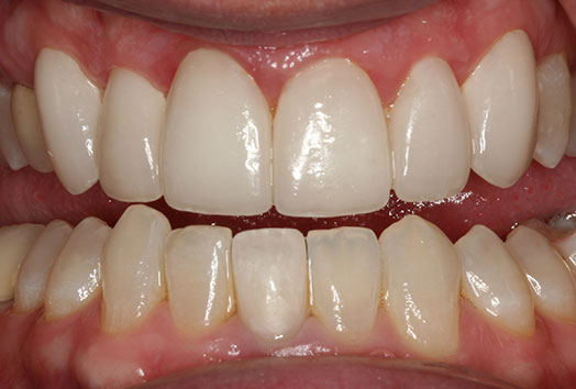
After: Replaced with porcelain veneers to even out the size and the contour.
Before
After(Note: Patients depicted in photos have provided their consent to display their pictures online. Each patient is unique, and results may vary. Please contact us if you have questions or wish to schedule an appointment.)
