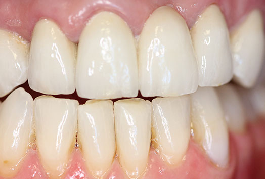
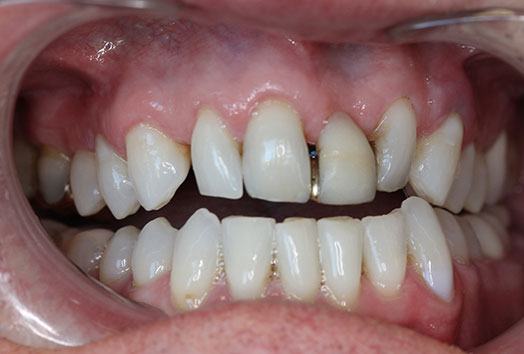
Porcelain Veneers & Crowns
Before: 25 year old gold bridge with spaces between the teeth.
After: Porcelain bridge and veneers to even out the shape of the teeth and give him an aesthetic smile. Changed the color to make everything lighter.
Before
After
Before
After(Note: Patients depicted in photos have provided their consent to display their pictures online. Each patient is unique, and results may vary. Please contact us if you have questions or wish to schedule an appointment.)
