Porcelain Veneers
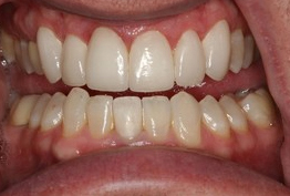
Case 1 - A young man who wanted whiter, larger teeth. Porcelain veneers, with minimal preparation were made which gave him a much better smile.
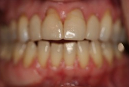
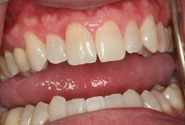
Case 2 - Old veneers, done 20 years ago were cracked and stained. After bleaching, new veneers were made, lengthening the front teeth and making her smile much more appealing!
Before
After
Before
After(Note: Patients depicted in photos have provided their consent to display their pictures online. Each patient is unique, and results may vary. Please contact us if you have questions or wish to schedule an appointment.)
