Porcelain Veneers & Crowns
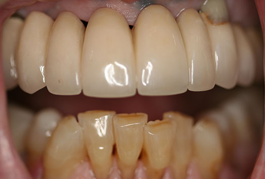
Before: Patient had old porcelain crowns on the upper with decay at the margins. The lower teeth were very crooked and dark.
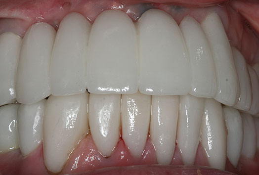
After: Replaced with porcelain crowns on the upper and lower teeth to change the color and shape.
Before
After(Note: Patients depicted in photos have provided their consent to display their pictures online. Each patient is unique, and results may vary. Please contact us if you have questions or wish to schedule an appointment.)
