Porcelain Veneers & Crowns
Before: Short irregular and broken incisors with spaces.
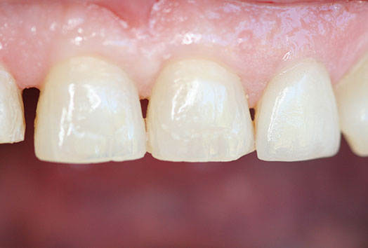
After: Porcelain veneers to fill the spaces and lengthen the teeth to be more aesthetic.
Before
After(Note: Patients depicted in photos have provided their consent to display their pictures online. Each patient is unique, and results may vary. Please contact us if you have questions or wish to schedule an appointment.)
