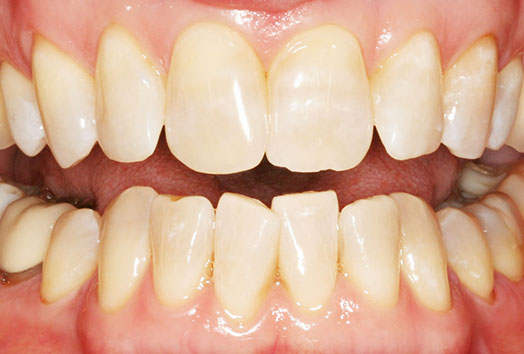
Bleaching
Two sessions of bleaching, lightened up teeth many shades.
Before
After(Note: Patients depicted in photos have provided their consent to display their pictures online. Each patient is unique, and results may vary. Please contact us if you have questions or wish to schedule an appointment.)
