Porcelain Veneers & Crowns
Before: Old porcelain crowns on the upper had become very dark. Lower teeth were broken and had mismatched older crown. Patient did not like the color of either.
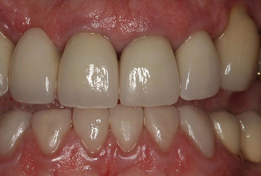
After: Porcelain crowns on upper and lower. Changed the color to a lighter shade and evened out the contour of the teeth.
Before
After(Note: Patients depicted in photos have provided their consent to display their pictures online. Each patient is unique, and results may vary. Please contact us if you have questions or wish to schedule an appointment.)
