Porcelain Crown (Caps)
Crowns (Caps)
Dental Implants
Porcelain Crowns (Caps)
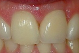
Before: Patient needs a Single Tooth Replacent of one Upper Central Incisor.
After: SmileSmile and function restored with a Single Implant and an All Porcelain Crown (Cap) that fits securely over the implant.
Before
After(Note: Patients depicted in photos have provided their consent to display their pictures online. Each patient is unique, and results may vary. Please contact us if you have questions or wish to schedule an appointment.)
