Porcelain Crown (Caps)
Crowns (Caps)
Dental Implants
Dentures & Partial Dentures
Porcelain Crowns (Caps)
Before: Patient needs Upper and Lower Arch Rehabilitation.
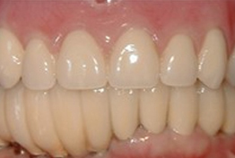
After: Great smile, chewing function, and facial tissue support possible with an Upper Denture that is supported with Implants and Lower Implants and Crowns
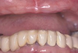
Before
Before
After
After(Note: Patients depicted in photos have provided their consent to display their pictures online. Each patient is unique, and results may vary. Please contact us if you have questions or wish to schedule an appointment.)
